Rejected at: Oct, 26, 2025
7:23 p.m.
Author:
Typisch_Andy
Related Deck:
1659122588716
Rejected
Rationale for new note
d
Rejection reason
bitte ohne absprache keine neuen karten einreichen
Path-Image
Path-Image
<img alt="Leberzirrhose bei chronischer Hepatitis B" src="ca6bc597ec90c94dc79bbd0746ffeb83.webp">
Path-Image (Overlay)
Path-Image (Overlay)
<img alt="Leberzirrhose bei chronischer Hepatitis B" src="e9bb219af67ab77d7c076d49aa98131c.webp">
Diagnose
- Mottenfraßnekrose: Periportale Leberzellnekrose mit lymphozytärer Infiltration , spricht für eine chronisch aktive Hepatitisform und ist ein prognostisch ungünstiges Zeichen
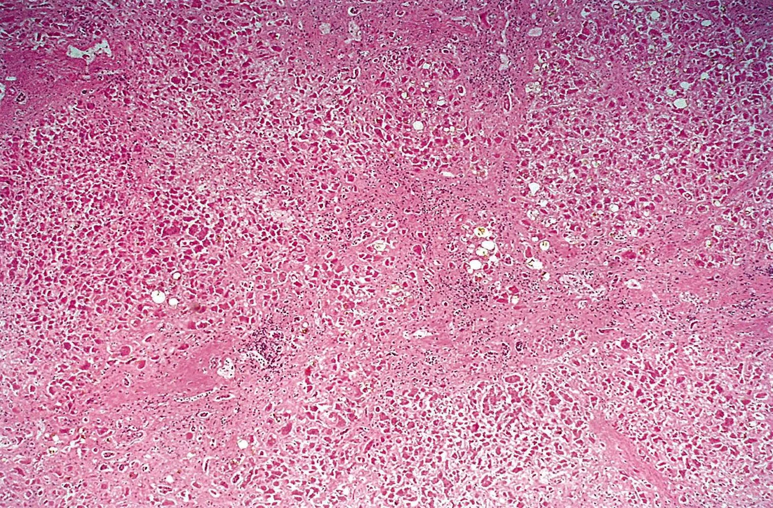
Hier: Leberzirrhose bei chronischer Hepatitis B
Mikroskopische Aufnahme der Leber bei chronischer Hepatitis B Infektion (H.E.-Färbung, ca. 50-fache Vergrößerung):
Zu sehen ist ein vollständiger Verlust der histologischen Leberarchitektur (Fehlen definierter Leberläppchen) kombiniert mit breiten, vernetzten Fibrosebändern (gelb markiert).
Diese Befunde weisen auf eine Leberzirrhose infolge einer chronischen Virushepatitis hin.
Zu sehen ist ein vollständiger Verlust der histologischen Leberarchitektur (Fehlen definierter Leberläppchen) kombiniert mit breiten, vernetzten Fibrosebändern (gelb markiert).
Diese Befunde weisen auf eine Leberzirrhose infolge einer chronischen Virushepatitis hin.
Quelle: © IMPP
Diagnose
<div><div><div><div><ul><li>Mottenfraßnekrose: <a href="https://next.amboss.com/de/article/F60g5S#Zd990e7fe083eebea91fffca220982ca2">Periportale</a> Leberzellnekrose mit lymphozytärer Infiltration <span style="color: var(--color-icon-quaternary);"></span>, spricht für eine chronisch aktive Hepatitisform und ist ein prognostisch ungünstiges Zeichen</li></ul></div><br><div>Hier: Leberzirrhose bei chronischer Hepatitis B<br></div></div></div></div><div><div><div><div><div><div><div><div><div>Mikroskopische Aufnahme der Leber bei chronischer Hepatitis B Infektion (H.E.-Färbung, ca. 50-fache Vergrößerung):<br><br>Zu sehen ist ein vollständiger Verlust der histologischen Leberarchitektur (Fehlen definierter Leberläppchen) kombiniert mit breiten, vernetzten Fibrosebändern (gelb markiert).<br><br>Diese Befunde weisen auf eine Leberzirrhose infolge einer chronischen Virushepatitis hin.</div></div></div></div><div><div><div>Quelle: © IMPP</div></div></div></div></div></div></div></div>
Extra
Empty field
Extra
Bild
Empty field
Bild
Eigene Notizen & Bilder
Empty field
Eigene Notizen & Bilder
Eigene Prüfungsfragen
Empty field
Eigene Prüfungsfragen
Definitionen
Empty field
Definitionen
Merksprüche
Empty field
Merksprüche
Klinik
Empty field
Klinik
Präparat
Empty field
Präparat
Memes
Empty field
Memes
Meditricks
Empty field
Meditricks
AMBOSS-Link
Empty field
AMBOSS-Link
Thieme via medici-Link
Empty field
Thieme via medici-Link
weitere Links
Empty field
weitere Links
Quelle
Empty field
Quelle
Datum
Empty field
Datum
Note ID
Empty field
Note ID