Accepted at: Sep, 30, 2025
7:09 a.m.
Author:
braviboron
Related Deck:
1675118865074
Accepted
Rationale for new note
Shenton
Text
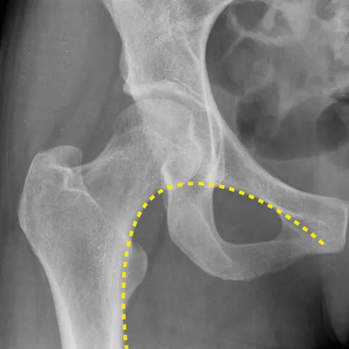
What is seen in this image?

{{c1::Right neck of femur fracture}}

{{c1::Right neck of femur fracture}}
Text
What is seen in this image?<br><br><img src="671bda80d22716161cbcb8b0ad9937ba.webp"><br><br>{{c1::Right neck of femur fracture}}
Extra

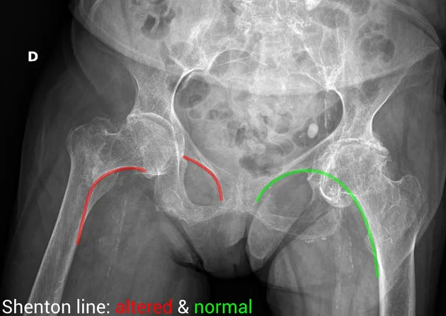
Case courtesy of Leonardo Lustosa, Radiopaedia.org. From the case rID: 98970

Normal Shenton line
Case courtesy of Jeremy Jones, Radiopaedia.org. From the case rID: 28928

Case courtesy of Leonardo Lustosa, Radiopaedia.org. From the case rID: 98970

Normal Shenton line
Case courtesy of Jeremy Jones, Radiopaedia.org. From the case rID: 28928
Extra
<img src="c7a3666183298e521ca13800417965be.webp"><br><i><span style="font-size: 10pt;">Case courtesy of Leonardo Lustosa, <a href="https://radiopaedia.org/?lang=us">Radiopaedia.org</a>. From the case <a href="https://radiopaedia.org/cases/98970?lang=us">rID: 98970</a></span></i><br><br><img src="7ea90640b1b5bbed67f7f814c9292165.webp"><br><i><span style="font-size: 10pt;">Normal Shenton line<br>Case courtesy of Jeremy Jones, <a href="https://radiopaedia.org/?lang=us">Radiopaedia.org</a>. From the case <a href="https://radiopaedia.org/cases/28928?lang=us">rID: 28928</a></span></i>
Extra (Synced)
Empty field
Extra (Synced)
Personal Notes
Empty field
Personal Notes
Missed Questions
Empty field
Missed Questions
eTG Complete
Empty field
eTG Complete
Talley & O'Connor
Empty field
Talley & O'Connor
Additional Resources
Empty field
Additional Resources
Additional Resources (Synced)
Empty field
Additional Resources (Synced)
Source
Gaillard F, Weerakkody Y, Knipe H, et al. Shenton line.
Reference article, Radiopaedia.org (Accessed on 08 Aug 2025) https://doi.org/10.53347/rID-2039
Source
<div><div>Gaillard F, Weerakkody Y, Knipe H, et al. Shenton line.
Reference article, Radiopaedia.org (Accessed on 08 Aug 2025) <a href="https://doi.org/10.53347/rID-2039">https://doi.org/10.53347/rID-2039</a></div></div>
One by one
Empty field
One by one
Tags
#Malleus_CM::#Resources_by_Rotation::Surgery::Orthopaedic_Surgery
#Malleus_CM::#Subjects::Surgery::05_Orthopaedic_Surgery::05_Hip::Neck_of_Femur_Fracture::08_Diagnosis/Investigations
#Malleus_CM::#Subjects::Orthopaedics_&_Rheumatology::01_Anatomy::03_Lower_Limb::Femur::Fracture_of_Femur::08_Diagnosis/Investigations