Accepted at: Jul, 13, 2025
12:38 a.m.
Author:
braviboron
Related Deck:
1675118865074
Accepted
Rationale for new note
PAH
Text
What chest x-ray findings may be seen in pulmonary arterial hypertension?
{{c1::Elevated cardiac apex due to right ventricular hypertrophy
Enlarged right atrium
Prominent pulmonary outflow tract
Enlarged pulmonary arteries
Pruning of peripheral pulmonary vessels
Radiographic correlates of underlying causes*}}
Text
<div>What chest x-ray findings may be seen in <b>pulmonary arterial hypertension</b>?</div><br><div>{{c1::Elevated cardiac apex due to right ventricular hypertrophy<div>Enlarged right atrium</div> <div>Prominent pulmonary outflow tract</div> <div>Enlarged pulmonary arteries</div> <div>Pruning of peripheral pulmonary vessels</div> <div>Radiographic correlates of underlying causes*}}</div></div>
Extra

* such as kyphoscoliosis, valvular heart disease, or changes due to interstitial lung disease

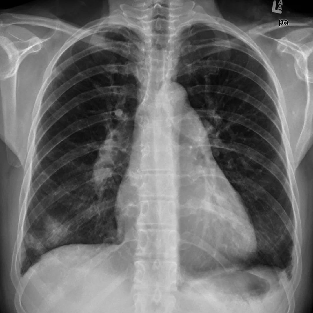
An enlarged cardiac silhouette with prominent pulmonary trunk and pulmonary arteries proximally.
Case courtesy of Frank Gaillard, Radiopaedia.org, rID: 8653
Extra
<div>* such as kyphoscoliosis, valvular heart disease, or changes due to interstitial lung disease</div><br><div><img src="038fda3b735a9cea31bf60aab63c0e71.webp" width="495"><br></div><i><span style="font-size: 10pt;"><div>An enlarged cardiac silhouette with prominent pulmonary trunk and pulmonary arteries proximally.<br></div><div><i><span style="font-size: 10pt;"><i>Case courtesy of Frank Gaillard, <a href="http://radiopaedia.org/">Radiopaedia.org</a>, <a href="https://radiopaedia.org/cases/pulmonary-arterial-hypertension">rID: 8653</a></i></span></i></div></span></i>
Personal Notes
Empty field
Personal Notes
Missed Questions
Empty field
Missed Questions
Oxford Handbook
Empty field
Oxford Handbook
First Aid
Empty field
First Aid
AMBOSS
Empty field
AMBOSS
eTG Complete
Empty field
eTG Complete
Talley & O'Connor
Empty field
Talley & O'Connor
Additional Resources
Empty field
Additional Resources
Source
Empty field
Source
One by one
Empty field
One by one
Tags
#Malleus_CM::#Yield::Medium
#Malleus_CM::#Subjects::Respiratory_Medicine::03_Pulmonary_Vascular_Disorders::02_Oedema_&_Hypertension::Pulmonary_Hypertension::08_Diagnosis/Investigations
#Malleus_CM::#Resources_by_Rotation::Surgery::Cardiothoracic_Surgery
#Malleus_CM::#Resources_by_Rotation::Obstetrics_&_Gynaecology
#Malleus_CM::#Resources_by_Rotation::Internal_Medicine::Haematology_&_Oncology
#Malleus_CM::#Resources_by_Rotation::Internal_Medicine::Respiratory_Medicine
#Malleus_CM::#Resources_by_Rotation::Internal_Medicine::General_Medicine
#Malleus_CM::#Resources_by_Rotation::Intensive_Care
#Malleus_CM::#Resources_by_Rotation::Internal_Medicine::Cardiology