Accepted at: Jun, 18, 2025
3:59 a.m.
Author:
braviboron
Related Deck:
1675118865074
Accepted
Rationale for new note
Aetiology seemed best but perhaps pathophys or phys better?
Text
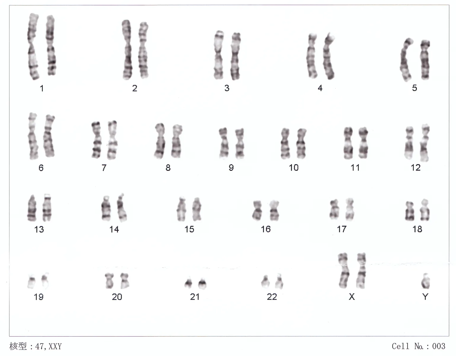
What karyotype is typically seen in Klinefelter syndrome?
{{c1::47 XXY}}
{{c1::47 XXY}}
Text
What <u>karyotype</u> is typically seen in <b>Klinefelter syndrome?</b><br><br>{{c1::47 XXY}}
Extra
Extra
<div><img src="d605626a53e36ea689e7bf69bdc7ffa1.webp" width="569"><br></div><i><span style="font-size: 10pt;">Photo credit: <a href="https://commons.wikimedia.org/wiki/File:Human_chromosomesXXY01.png">User:Nami-ja</a>, Public domain, via Wikimedia Commons</span></i><br>
Personal Notes
Empty field
Personal Notes
Missed Questions
Empty field
Missed Questions
Oxford Handbook
Empty field
Oxford Handbook
First Aid


First Aid
<img src="91028499c259759e11bbf78ba3dfda1a.webp"><br><img src="752dc975459a6eb2cd887629e12910e9.webp">
AMBOSS
Empty field
AMBOSS
eTG Complete
eTG Complete
<div class="ome-widget"><br></div>
Talley & O'Connor
Empty field
Talley & O'Connor
Additional Resources
Empty field
Additional Resources
Source
Empty field
Source
One by one
Empty field
One by one
Tags
#Malleus_CM::#Subjects::Paediatrics::01_Community_&_Development::01_Genetic_Disorders::Klinefelter_Syndrome::02_Aetiology
#Malleus_CM::#Resources_by_Rotation::Paediatrics
