Rejected at: Dec, 11, 2024
11:56 p.m.
Author:
ameduna
Related Deck:
1659122273009
Rejected
Rationale for new note
new cards test 2
Text
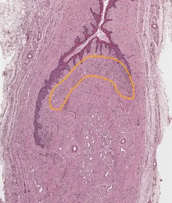
What region of the clitoris is outlined below?
{{c1::glans clitoris erectile tissue}}
{{c1::glans clitoris erectile tissue}}
Text
What region of the clitoris is outlined below?<br>{{c1::glans clitoris erectile tissue}}<br><img src="775c727c8efd10ecfefb9bf0b34c8724.webp">
Extra
Empty field
Extra
Lecture Notes
Empty field
Lecture Notes
Missed Questions
Empty field
Missed Questions
Pathoma
Empty field
Pathoma
Boards and Beyond
Empty field
Boards and Beyond
First Aid
Empty field
First Aid
Sketchy
Empty field
Sketchy
Sketchy 2
Empty field
Sketchy 2
Sketchy Extra
Empty field
Sketchy Extra
Picmonic
Empty field
Picmonic
Pixorize
Empty field
Pixorize
Physeo
Empty field
Physeo
Bootcamp
Empty field
Bootcamp
OME
Empty field
OME
Additional Resources
Empty field
Additional Resources
One by one
Empty field
One by one
Tags
Histology::Unit_8::Mid_Unit::Lab_Female_Reproductive_System