Bulk Suggestion
Bulk ID:
davimesquitam/11.27.24-06:16PM
Created at: Nov, 27, 2024
6:16 p.m.
Author:
davimesquitam
Related Deck:
1702078002926
New Note
Rationale for new note
PCP
Front
HIV + tosse seca, dispneia aos esforços, quadro arrastado, ausculta normal, com perda de peso.

Suspeita: {{c1::pneumocistose (PCP)}}
Exame obrigatório: {{c1::gasometria}} com {{c1::hipoxemia e alcalose resp}}
Laboratorial: {{c1::LDH}}>500

Suspeita: {{c1::pneumocistose (PCP)}}
Exame obrigatório: {{c1::gasometria}} com {{c1::hipoxemia e alcalose resp}}
Laboratorial: {{c1::LDH}}>500
Front
<b>HIV</b> + tosse seca, dispneia aos esforços, quadro arrastado, ausculta normal, com perda de peso.<br><img src="5d4be177c5bbb5275b3b56102b079f89.webp"><br>Suspeita: {{c1::pneumocistose (PCP)}}<br>Exame obrigatório: {{c1::gasometria}} com {{c1::hipoxemia e alcalose resp}}<br>Laboratorial: {{c1::LDH}}>500
Back
Empty field
Back
Anotação
Empty field
Anotação
Importante
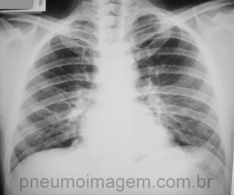
RX: infiltrado bilateral (dos hilos para as bases). Pode ter pneumatoceles* (cavidade cística). Pode ser normal.
NÃO tem adenopatia hilar e derrame pleural
*Podem evoluir para pneumotórax (DD com TB e pnm bac).
NÃO tem adenopatia hilar e derrame pleural
*Podem evoluir para pneumotórax (DD com TB e pnm bac).
Importante
<b>RX</b>: infiltrado bilateral (dos hilos para as bases). Pode ter pneumatoceles* (cavidade cística). Pode ser normal.<br><span style="color: rgb(255, 0, 0);"><u>NÃO tem adenopatia hilar e derrame pleural<br></u></span><br>*Podem evoluir para pneumotórax (DD com TB e pnm bac).
Observação
Empty field
Observação
Apresentação
Empty field
Apresentação
Fisiopatologia
Empty field
Fisiopatologia
Clínica
Empty field
Clínica
Diagnóstico
Empty field
Diagnóstico
Conduta
Empty field
Conduta
Galeria
Empty field
Galeria
Referência
Empty field
Referência
Banca
Empty field
Banca
One by one
s
One by one
s
©Ankiclass
Empty field
©Ankiclass
Tags
#Clínica_Médica::#Infectologia::HIV/AIDS::Doenças_oportunistas::Pneumocistose