Accepted at: Sep, 05, 2024
11:54 p.m.
Author:
farojw
Related Deck:
1680573171560
Accepted
Rationale for new note
Split from another note that was bulky
Text
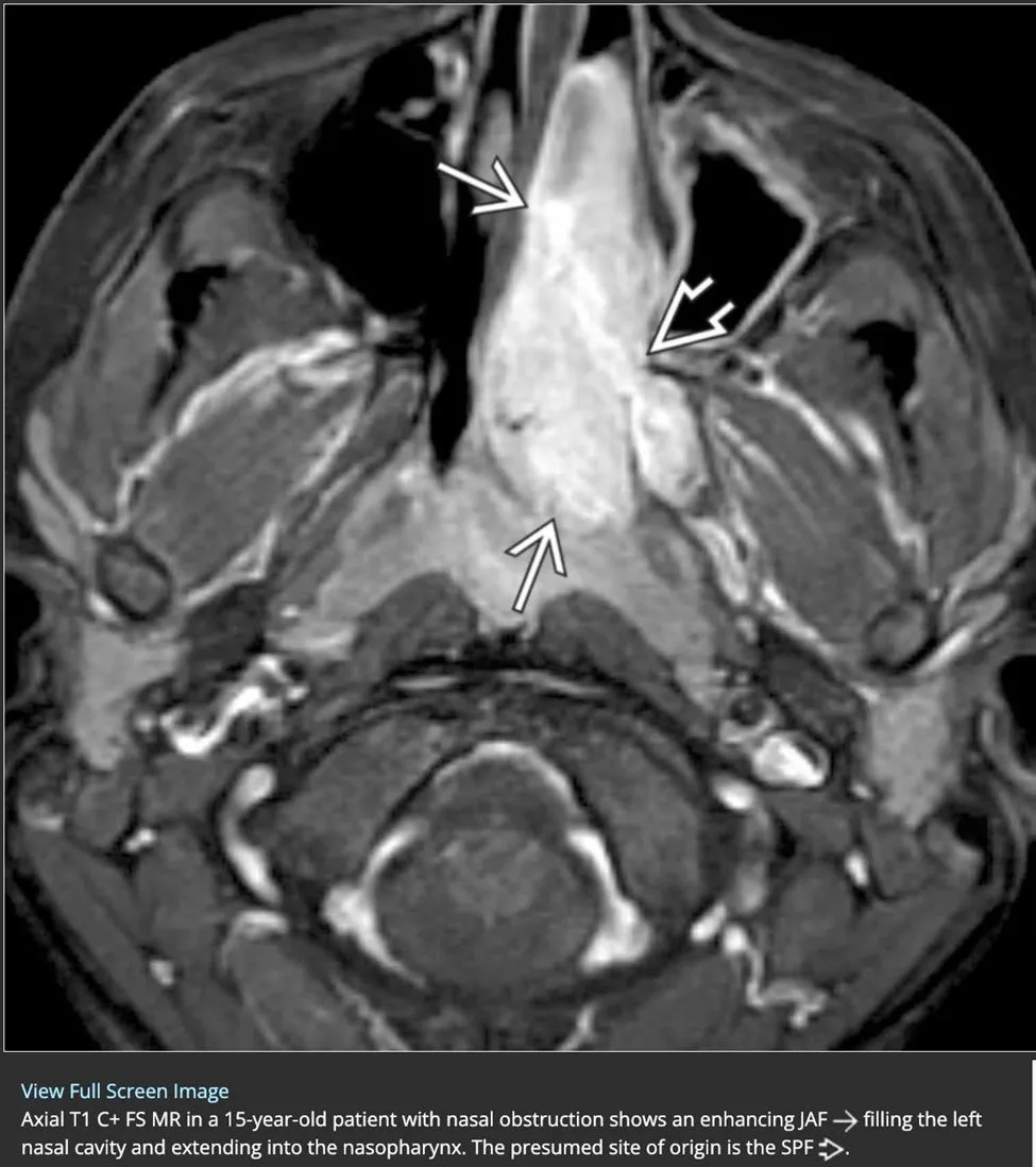
Juvenile nasopharyngeal angiofibroma commonly spreads from the sphenopalatine foramen into the {{c1::nasopharynx}} and {{c2::pterygopalatine fossa}} with associated bony remodeling
Text
<b>Juvenile nasopharyngeal angiofibroma commonly </b>spreads from the sphenopalatine foramen into the {{c1::<u>nasopharynx</u>}} and {{c2::<u>pterygopalatine fossa</u>}} with associated bony remodeling
Extra


Extra
<img src="792e85883dc6a77a5faa014b728b184f.webp"><br><img src="ad5fc2f899fd1730562077834396f2b6.webp">
Personal Notes
Empty field
Personal Notes
Missed Questions
Empty field
Missed Questions
Core Radiology
Core Radiology
<img src="d65433d70a92e2257b718d208114c602.webp">
Fundamentals of Diagnostic Radiology
Empty field
Fundamentals of Diagnostic Radiology
Crack the Core
Empty field
Crack the Core
War Machine
Empty field
War Machine
Sectional Anatomy
Empty field
Sectional Anatomy
Additional Resources
Empty field
Additional Resources
One by one
Empty field
One by one
Section Title
Empty field
Section Title
Tags
#Ankore::Textbooks::Core_Radiology::1086
Core_Radiology_2E
AnkiHub_Subdeck::AnKore_for_ABR_Diagnostic_Radiology_Core_Exam::Core_Radiology::14_Pediatric_Imaging::01_Pediatric_airway