Created at: Jun, 23, 2024
2:09 p.m.
Author:
studmed99
Related Deck:
1659122588716
New Note
Rationale for new note
EKG-Verändungen der LAE fehlen bisher, sind jedoch high-yield.
Text
EKG Zeichen einer Lungenembolie:
Lagetyp: {{c1::SIQII-Typ}}, {{c1::SISIISIII}}, {{c1::(überdrehter) Rechtstyp}}
P-Welle: {{c2::P-pulmonale}}
QRS-Komplex: {{c3::Rechtsschenkelblock}}
Endstreckenveränderungen: {{c4::T-Negativierungen in II, aVF, V1-V3}}
Lagetyp: {{c1::SIQII-Typ}}, {{c1::SISIISIII}}, {{c1::(überdrehter) Rechtstyp}}
P-Welle: {{c2::P-pulmonale}}
QRS-Komplex: {{c3::Rechtsschenkelblock}}
Endstreckenveränderungen: {{c4::T-Negativierungen in II, aVF, V1-V3}}
Text
<i>EKG Zeichen</i> einer <b>Lungenembolie</b>:<br><br>Lagetyp: {{c1::<u>S<sub>I</sub>Q<sub>II</sub>-Typ</u>}}, {{c1::<u>S<sub>I</sub>S<sub>II</sub>S<sub>III</sub></u>}}, {{c1::(überdrehter) Rechtstyp}}<br>P-Welle: {{c2::P-pulmonale}}<br>QRS-Komplex: {{c3::Rechtsschenkelblock}}<br>Endstreckenveränderungen: {{c4::<u>T-Negativierungen in II, aVF, V<sub>1</sub>-V<sub>3</sub></u>}}
Extra
- Rhythmus: Sinustachykardie (häufig)
↳ Herzrhythmusstörungen möglich: Insb. Extrasystolen - Lagetyp
↳ Sagittale Herzachse (ca. 10%)
↳ SIQIII-Typ: S-Zacke in Ableitung I und Q-Zacke in Ableitung III
↳ SISIISIII-Typ: Vergleichbar große R- und S-Zacken in den Ableitungen I–III
↳ Rechtstyp oder überdrehter Rechtstyp möglich - P-Welle: P-pulmonale bzw. P-dextroatriale (ca. 10%)
- QRS-Komplex: Inkompletter oder kompletter Rechtsschenkelblock (ca. 10%)
- Endstreckenveränderungen
↳ T-Negativierungen: Insb. in Ableitung III, aVF und V1–V3
↳ ST-Senkungen: Insb. in Ableitung V1–V3
↳ ST-Hebungen: Insb. in Ableitung III und V1 (eher bei schweren Verläufen)
Extra
<ul><li><i>Rhythmus:</i> Sinustachykardie (häufig)<br>↳ Herzrhythmusstörungen möglich: Insb. Extrasystolen</li><li><i>Lagetyp</i><br>↳ Sagittale Herzachse (ca. 10%) <br>↳ <u>S<sub>I</sub>Q<sub>III</sub>-Typ:</u> S-Zacke in Ableitung I und Q-Zacke in Ableitung III <br>↳ <u>S<sub>I</sub>S<sub>II</sub>S<sub>III</sub>-Typ:</u> Vergleichbar große R- und S-Zacken in den Ableitungen I–III<br>↳ Rechtstyp oder überdrehter Rechtstyp möglich</li><li><i>P-Welle</i>: P-pulmonale bzw. P-dextroatriale (ca. 10%)</li><li><i>QRS-Komplex: </i>Inkompletter oder kompletter Rechtsschenkelblock (ca. 10%)</li><li><i>Endstreckenveränderungen</i><br>↳ <u>T-Negativierungen: Insb. in Ableitung III, aVF und V<sub>1</sub>–V<sub>3<br></sub></u>↳ ST-Senkungen: Insb. in Ableitung V<sub>1</sub>–V<sub>3<span style="font-size: 13.3333px;"><br></span></sub>↳ ST-Hebungen: Insb. in Ableitung III und V<sub>1</sub> (eher bei schweren Verläufen)</li></ul>
Bild
Empty field
Bild
Eigene Notizen & Bilder
Empty field
Eigene Notizen & Bilder
Eigene Prüfungsfragen
Empty field
Eigene Prüfungsfragen
Definitionen
Empty field
Definitionen
Merksprüche
Empty field
Merksprüche
Klinik
EKG mit Rechtsherzbelastung bei Lungenembolie - 12‑Kanal‑EKG (Papiervorschub 50mm/s)
Tachykarde Herzfrequenz mit ca. 106/min
Sinusrhythmus
überdrehter Linkstyp und S1S2S3-Typ
P-dextroatriale (deutlich in II)
präterminale T‑Negativierung in aVL.

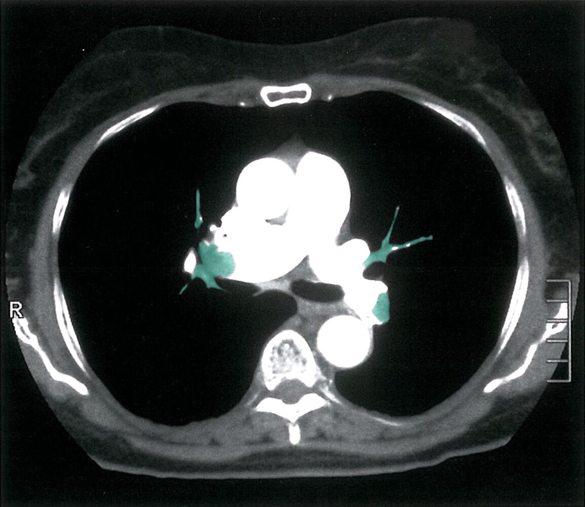
Lungenembolie - CT des Thorax (mit Kontrastmittel, pulmonalarterielle Phase, axialer Schnitt)
73-jährige Patientin mit starker Dyspnoe unklarer Genese; vor vier Tagen habe sie eine längere Busfahrt gemacht und beim Aussteigen plötzlich Luftnot verspürt
Grün: Deutliche Kontrastmittel-Aussparungen in den Pulmonalarterien und ihren Abgängen beidseits
Tachykarde Herzfrequenz mit ca. 106/min
Sinusrhythmus
überdrehter Linkstyp und S1S2S3-Typ
P-dextroatriale (deutlich in II)
präterminale T‑Negativierung in aVL.

Lungenembolie - CT des Thorax (mit Kontrastmittel, pulmonalarterielle Phase, axialer Schnitt)
73-jährige Patientin mit starker Dyspnoe unklarer Genese; vor vier Tagen habe sie eine längere Busfahrt gemacht und beim Aussteigen plötzlich Luftnot verspürt
Grün: Deutliche Kontrastmittel-Aussparungen in den Pulmonalarterien und ihren Abgängen beidseits
Klinik
<u>EKG mit Rechtsherzbelastung bei Lungenembolie - 12‑Kanal‑EKG (Papiervorschub 50mm/s)</u><br>Tachykarde Herzfrequenz mit ca. 106/min<br>Sinusrhythmus<br>überdrehter Linkstyp und S1S2S3-Typ<br>P-dextroatriale (deutlich in II)<br>präterminale T‑Negativierung in aVL.<br><img src="5081d9443f9e3.jpg"><br><u>Lungenembolie - CT des Thorax (mit Kontrastmittel, pulmonalarterielle Phase, axialer Schnitt)</u><br><i>73-jährige Patientin mit starker Dyspnoe unklarer Genese; vor vier Tagen habe sie eine längere Busfahrt gemacht und beim Aussteigen plötzlich Luftnot verspürt</i><br><b>Grün</b>: Deutliche Kontrastmittel-Aussparungen in den Pulmonalarterien und ihren Abgängen beidseits<br><img src="aec03a0b58f0e4cb3851d63d7f8ce3f7.jpg">
Präparat
Empty field
Präparat
Memes
Empty field
Memes
Meditricks
Meditricks
<div class="mt-anki-iframe-src" data-src="1667334503097"></div>
AMBOSS-Link
https://next.amboss.com/de/article/oh00Uf
AMBOSS-Link
https://next.amboss.com/de/article/oh00Uf
Thieme via medici-Link
https://viamedici.thieme.de/lernmodul/6431978/4958420
Thieme via medici-Link
https://viamedici.thieme.de/lernmodul/6431978/4958420
weitere Links
Empty field
weitere Links
Quelle
AMBOSS
Quelle
AMBOSS
Datum
Empty field
Datum
One by one
Empty field
One by one
Note ID
1667334503097
Note ID
1667334503097
Tags
#Ankizin_vAnkihub::#M2_M3_Klinik::#AMBOSS
#Ankizin_vAnkihub::#M2_M3_Klinik::#AMBOSS::Bibliothek-Klinik::(fächerübergreifend)_Behandlungsanlässe::Thoraxschmerzen::Lungenembolie_(Lungenarterienembolie,_LAE)
#Ankizin_vAnkihub::#M2_M3_Klinik::#AMBOSS::Bibliothek-Klinik::Chirurgie::Thoraxchirurgie::Lungenembolie_(Lungenarterienembolie,_LAE)
#Ankizin_vAnkihub::#M2_M3_Klinik::#AMBOSS::Bibliothek-Klinik::Innere_Medizin::Kardiologie_und_Angiologie::Gefäßerkrankungen::Thrombotische_und_(thrombo)embolische_Erkrankungen::Lungenembolie_(Lungenarterienembolie,_LAE)
#Ankizin_vAnkihub::#M2_M3_Klinik::#AMBOSS::Bibliothek-Klinik::Innere_Medizin::Pneumologie::Lungengefäßerkrankungen::Lungenembolie_(Lungenarterienembolie,_LAE)
#Ankizin_vAnkihub::#M2_M3_Klinik::#AMBOSS::Bibliothek-Klinik::Intensivmedizin::Pulmonologische_Krankheitsbilder::Lungenembolie_(Lungenarterienembolie,_LAE)
#Ankizin_vAnkihub::#M2_M3_Klinik::#AMBOSS::Bibliothek-Klinik::Notfallmedizin::Internistische_Notfälle::Lungenembolie_(Lungenarterienembolie,_LAE)
#Ankizin_vAnkihub::#M2_M3_Klinik::#AMBOSS::Bibliothek-Klinik::Radiologie::Radiologische_Diagnostik_der_Thoraxorgane::Lungenembolie_(Lungenarterienembolie,_LAE)
#Ankizin_vAnkihub::#M2_M3_Klinik::#AMBOSS::M2-100-Tage-Lernplan::M2_Lerntag_006_Kardiologie_und_Angiologie
#Ankizin_vAnkihub::#M2_M3_Klinik::#AMBOSS::M2-100-Tage-Lernplan::M2_Lerntag_006_Kardiologie_und_Angiologie::Lungenembolie
#Ankizin_vAnkihub::#M2_M3_Klinik::#AMBOSS::M2-TOP100-Themen::Lungenembolie_(Lungenarterienembolie,_LAE)
#Ankizin_vAnkihub::#M2_M3_Klinik::#AMBOSS::M3-Kenntnisprüfung::Anästhesiologie,_Intensivmedizin,_Notfallmedizin,_Schmerztherapie_(AINS)::Intensivmedizin::Wichtige_Themen::Lungenembolie_(LAE)
#Ankizin_vAnkihub::#M2_M3_Klinik::#AMBOSS::M3-Kenntnisprüfung::Innere_Medizin::Kardiologie_&_Angiologie::Weiterführende_Themen::Lungenembolie
#Ankizin_vAnkihub::#M2_M3_Klinik::#AMBOSS::M3-Kenntnisprüfung::Innere_Medizin::Pneumologie::Wichtige_Themen::Lungenembolie
#Ankizin_vAnkihub::#MEDITRICKS::Klinik::Chirurgie::Thoraxchirurgie::Lungenembolie
#Ankizin_vAnkihub::#MEDITRICKS::Klinik::Innere_Medizin::Kardiologie::Erkrankungen::Lungenembolie
#Ankizin_vAnkihub::#MEDITRICKS::Klinik::Innere_Medizin::Pneumologie::Erkrankungen::Lungenembolie
#Ankizin_vAnkihub::#UNIVERSITÄTEN::Basel::3_Semester::#Themenblöcke::Blut_Infekt_Abwehr::Blut::Lungenembolie
#Ankizin_vAnkihub::#UNIVERSITÄTEN::Freiburg::Fächer::Innere_Medizin::Klausur_Wintersemester::Pneumologie::Lungengefäßerkrankungen::Lungenembolie
#Ankizin_vAnkihub::#UNIVERSITÄTEN::Halle::5-Semester::Modul_Lunge::Thoraxchirurgie::Lungenembolie_(Lungenarterienembolie,_LAE)
#Ankizin_vAnkihub::#UNIVERSITÄTEN::Hamburg-UKE::4_&_5_Semester::B2::Innere_Medizin::Pneumologie::Lungengefäßerkrankungen::Lungenembolie_(Lungenarterienembolie,_LAE)
#Ankizin_vAnkihub::#UNIVERSITÄTEN::München-TU::5_&_6_Semester::IVL-2.1::Pneumologie::Lungenembolie_(Lungenarterienembolie,_LAE)
#Ankizin_vAnkihub::#UNIVERSITÄTEN::Regensburg::2_klin._Semester::Innere::Innere1::Nicht-kardialer_Thoraxschmerz::Lungenembolie
#Ankizin_vAnkihub::§Projekt_Anki::#Ankizin_Subdeck-Struktur::M2_M3_Klinik::Innere_Medizin::Kardiologie_und_Angiologie
#Ankizin_vAnkihub::§Projekt_Anki::Credit::Aachen::Johannes
AnkiHub_Subdeck::Ankizin::M2_M3_Klinik::Innere_Medizin::Kardiologie_und_Angiologie