Bulk Suggestion
Bulk ID:
jeszhangg/05.25.24-12:42PM
Accepted at: Jun, 04, 2024
11:46 p.m.
Author:
jeszhangg
Co-authors:
Stapedius
Related Deck:
1675118865074
Accepted
Rationale for new note
from jess
Text
What does this echocardiogram show?

{{c1::Atrial septal defect}}

{{c1::Atrial septal defect}}
Text
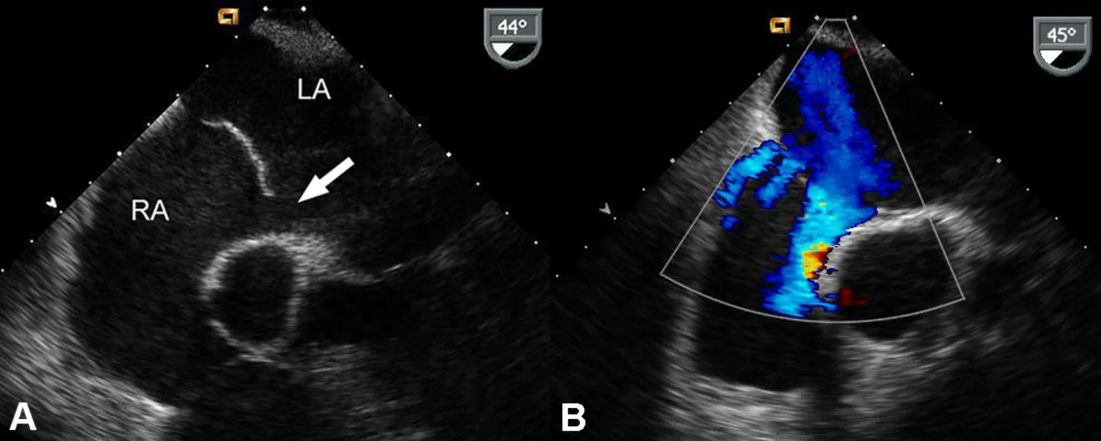
What does this echocardiogram show?<br><br><img src="7bb6a31b6cab69558f67360ca4748cc4.webp"><br>{{c1::Atrial septal defect}}
Extra
A defect (white arrow) located between the left atrium (LA) and right atrium (RA) can be seen on the regular ultrasound image (A). There is also an atrial septal aneurysm bulging into the left atrium just below the defect. The color Doppler ultrasound image (B) shows the blood flow through the defect.
Extra
A defect (white arrow) located between the left atrium (LA) and right atrium (RA) can be seen on the regular ultrasound image (A). There is also an atrial septal aneurysm bulging into the left atrium just below the defect. The color Doppler ultrasound image (B) shows the blood flow through the defect.<br>
Extra (Synced)
Empty field
Extra (Synced)
Personal Notes
Empty field
Personal Notes
Missed Questions
Empty field
Missed Questions
eTG Complete
Empty field
eTG Complete
Talley & O'Connor
Empty field
Talley & O'Connor
Additional Resources
Empty field
Additional Resources
Additional Resources (Synced)
Empty field
Additional Resources (Synced)
Source
Cardiology. Paediatric Handbook RCH pg 170. Accessed May 21, 2024.
Acyanotic congenital heart defects. AMBOSS. https://next.amboss.com/us/article/4403jT. Accessed May 21, 2024
Acyanotic congenital heart defects. AMBOSS. https://next.amboss.com/us/article/4403jT. Accessed May 21, 2024
Source
Cardiology. Paediatric Handbook RCH pg 170. Accessed May 21, 2024.<br>Acyanotic congenital heart defects. AMBOSS. <a href="https://next.amboss.com/us/article/4403jT">https://next.amboss.com/us/article/4403jT</a>. Accessed May 21, 2024
One by one
Empty field
One by one
Tags
#Malleus_CM::#Resources_by_Rotation::Paediatrics
#Malleus_CM::#Subjects::Paediatrics::08_Cardiology::Congenital_Heart_Disease
#Malleus_CM::#Subjects::Cardiology::01_Embryology::Atrial_Septal_Defect:: 08_Diagnosis/Investigations