Accepted at: Mar, 24, 2024
5:01 p.m.
Author:
rjk.kirkland
Related Deck:
1680573171560
Accepted
Rationale for new note
missing image from page
Text

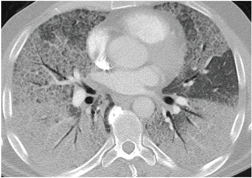
Axial CT shows interlobular {{c1::septal}} thickening in regions of {{c1::groundglass}} opacification, representing {{c2::crazy paving}}

Text
<div>Axial CT shows <b>interlobular</b> {{c1::<b>septal</b>}} <b>thickening</b> in regions of {{c1::<b>groundglass</b>}} <b>opacification</b>, representing {{c2::crazy paving}}</div><br><img src="fe17d08f2d6db9fecaed7488456cd7e4.webp"><br>
Extra
--> This was a case of alveolar proteinosis, the entity in which crazy paving was first described
Extra
--> This was a case of alveolar proteinosis, the entity in which crazy paving was first described
Personal Notes
Empty field
Personal Notes
Missed Questions
Empty field
Missed Questions
Core Radiology
Core Radiology
<img src="01f9ae343c608fa22796595bfad59a9e.webp">
Fundamentals of Diagnostic Radiology
Empty field
Fundamentals of Diagnostic Radiology
Crack the Core
Empty field
Crack the Core
War Machine
Empty field
War Machine
Sectional Anatomy
Empty field
Sectional Anatomy
Additional Resources
Empty field
Additional Resources
One by one
Empty field
One by one
Section Title
Thoracic Imaging: Patterns of Lung Disease
Section Title
Thoracic Imaging: Patterns of Lung Disease
Tags
#Ankore::Textbooks::Core_Radiology::0012
AnkiHub_Subdeck::AnKore_for_ABR_Diagnostic_Radiology_Core_Exam::Core_Radiology::01_Thoracic_Imaging::02_Patterns_of_lung_disease
Core_Radiology_2E