Accepted at: Mar, 20, 2024
12:20 a.m.
Author:
rjk.kirkland
Related Deck:
1680573171560
Accepted
Rationale for new note
Missing from page 10
Text

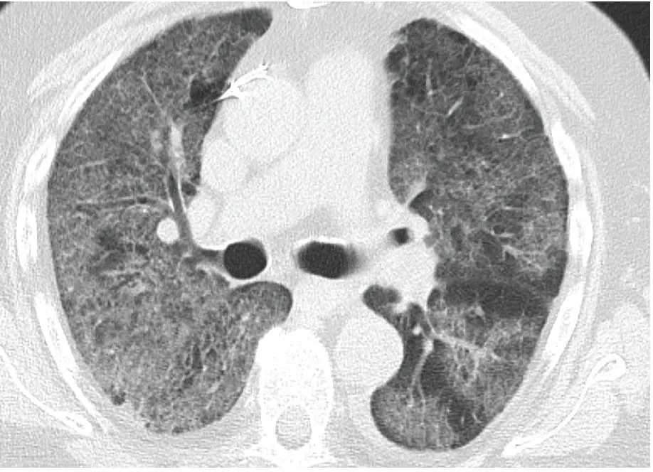
Noncontrast CT shows diffuse {{c1::ground glass}} opacification in which the pulmonary architecture, including {{c2::vasculature}} and {{c2::bronchi}}, can be still seen

Text
<div>Noncontrast CT shows diffuse {{c1::ground glass}} opacification in which the pulmonary architecture, including {{c2::vasculature}} and {{c2::bronchi}}, can be still seen</div>
<br><img src="1e767c711b065e79991d66caad89c24d.webp"><br>
Extra
--> which is characteristic for ground glass opacification
--> this was a case of acute respiratory distress syndrome (ARDS)
Extra
--> which is characteristic for ground glass opacification<div>--> this was a case of acute respiratory distress syndrome (ARDS)</div>
Personal Notes
Empty field
Personal Notes
Missed Questions
Empty field
Missed Questions
Core Radiology
Empty field
Core Radiology
Fundamentals of Diagnostic Radiology
Empty field
Fundamentals of Diagnostic Radiology
Crack the Core
Empty field
Crack the Core
War Machine
Empty field
War Machine
Sectional Anatomy
Empty field
Sectional Anatomy
Additional Resources
Empty field
Additional Resources
One by one
Empty field
One by one
Section Title
Thoracic Imaging: Patterns of Lung Disease
Section Title
Thoracic Imaging: Patterns of Lung Disease
Tags
#Ankore::Textbooks::Core_Radiology::0010
AnkiHub_Subdeck::AnKore_for_ABR_Diagnostic_Radiology_Core_Exam::Core_Radiology::01_Thoracic_Imaging::02_Patterns_of_lung_disease
Core_Radiology_2E