Rejected at: Feb, 17, 2024
4:17 p.m.
Author:
taylordugan
Related Deck:
1659122273009
Rejected
Rationale for new note
We have Multiple systems atrophy, & progressive supranuclear palsy as cards in the deck. I keep seeing this condition in charts for parkinson-plus syndromes so I made a personal card for it. I haven't come across a specific uworld/amboss q for it but Uworld does have it included in one of their charts for parkinson plus syndromes. It is also featured in first aid clinical patterns for step 2 and first aid for step 2.
Probably not HY but I figured I'd suggest it in case somebody found it useful :)
Rejection reason
can add if it gets tested
Text
{{c1::Corticobasal Degeneration (CBD)::What condition?}} is a parkinson-plus syndrome involving:
{{c2::Asymmetric limb akinesia (Alien limb phenomenon)::A}}
{{c2::Cortical dysfunction::C}}
{{c2::Dysarthria::D}}
{{c2::oCulomotor dysfunction::C}}
{{c2::Asymmetric limb akinesia (Alien limb phenomenon)::A}}
{{c2::Cortical dysfunction::C}}
{{c2::Dysarthria::D}}
{{c2::oCulomotor dysfunction::C}}
Text
{{c1::<b>Corticobasal Degeneration (CBD)</b>::What condition?}} is a <u>parkinson-plus</u> syndrome involving:<br>{{c2::<b>A</b>symmetric limb akinesia (<u>Alien limb phenomenon</u>)::A}} <br>{{c2::<b>C</b>ortical dysfunction::C}}<br>{{c2::<b>D</b>ysarthria::D}}<br>{{c2::o<b>C</b>ulomotor dysfunction::C}}
Extra
Parkinson's Plus Syndromes are syndromes that initially look like PD but have additional features. These syndromes include:
Progressive supranuclear palsy is characterized by gaze palsy, nuchal rigidity, early gait disorder, falls, and speech disorder
Dementia with Lewy bodies is characterized by early dementia, hallucinations, and cognitive fluctuations
Multiple system atrophy (MSA) is characterized by autonomic insufficiency, early incontinence, and cerebellar ataxia
Corticobasal degeneration (CBD) is characterized by asymmetric limb apraxia ("alien limb"), rigidity, and dementia

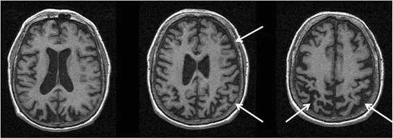
Image credit: Usman Saeed et al., CC BY 4.0, via Wikimedia Commons
Progressive supranuclear palsy is characterized by gaze palsy, nuchal rigidity, early gait disorder, falls, and speech disorder
Dementia with Lewy bodies is characterized by early dementia, hallucinations, and cognitive fluctuations
Multiple system atrophy (MSA) is characterized by autonomic insufficiency, early incontinence, and cerebellar ataxia
Corticobasal degeneration (CBD) is characterized by asymmetric limb apraxia ("alien limb"), rigidity, and dementia

Image credit: Usman Saeed et al., CC BY 4.0, via Wikimedia Commons
Extra
Parkinson's Plus Syndromes are syndromes that initially look like PD but have additional features. These syndromes include: <br><br>Progressive supranuclear palsy is characterized by gaze palsy, nuchal rigidity, early gait disorder, falls, and speech disorder<br><br>Dementia with Lewy bodies is characterized by early dementia, hallucinations, and cognitive fluctuations<br><br>Multiple system atrophy (MSA) is characterized by autonomic insufficiency, early incontinence, and cerebellar ataxia<br><br>Corticobasal degeneration (CBD) is characterized by asymmetric limb apraxia ("alien limb"), rigidity, and dementia<br><img src="a4fb8fd468dfcca151ca19fc3bb08416.webp"><br><i><span style="font-size: 10pt;">Image credit: <a href="https://commons.wikimedia.org/wiki/File:Corticobasal_degeneration_MRI.jpg">Usman Saeed et al.</a>, <a href="https://creativecommons.org/licenses/by/4.0">CC BY 4.0</a>, via Wikimedia Commons</span></i>
Lecture Notes
Empty field
Lecture Notes
Missed Questions
Empty field
Missed Questions
Pathoma
Empty field
Pathoma
Boards and Beyond
Empty field
Boards and Beyond
First Aid
Empty field
First Aid
Sketchy
Empty field
Sketchy
Sketchy 2
Empty field
Sketchy 2
Sketchy Extra
Empty field
Sketchy Extra
Picmonic
Empty field
Picmonic
Pixorize
Empty field
Pixorize
Physeo
Empty field
Physeo
Bootcamp
Empty field
Bootcamp
OME
Empty field
OME
Additional Resources
Empty field
Additional Resources
One by one
Empty field
One by one
Tags
#AK_Step2_v12::!Shelf::Neuro::no_dupes::only_step2
#AK_Step2_v12::#Subjects::Neurology::11_Degenerative_Disorders::Parkinson_Disease::Corticobasal_Degeneration