Bulk Suggestion
Bulk ID:
shmuelsash/01.21.24-03:13PM
Accepted at: Jan, 22, 2024
3:17 a.m.
Author:
shmuelsash
Related Deck:
1659122273009
Accepted
Rationale for new note
f/u on previous suggestion
see here:
https://app.ankihub.net/decks/e77aedfe-a636-40e2-8169-2fce2673187e/suggestions/?search=state:pending,id:997047&tab=change_note_suggestions
Text
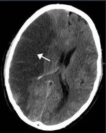
Ischemic strokes appear on non-contrast CT as {{c1::hypodense::description}} lesions and often don't become evident until > 24 hours
Text
<b>Ischemic</b> strokes appear on non-contrast CT as {{c1::<b>hypodense</b>::description}} lesions and often don't become evident until > 24 hours
Extra
- vs. hemorrhagic strokes which appear hyperdense
- May be visualized between 6 - 24 hrs

Photo credit: Lucien Monfilsderivative work: Suraj, CC BY-SA 3.0, via Wikimedia Commons
- May be visualized between 6 - 24 hrs

Photo credit: Lucien Monfilsderivative work: Suraj, CC BY-SA 3.0, via Wikimedia Commons
Extra
- vs. hemorrhagic strokes which appear <b>hyper</b>dense<br>- May be visualized between 6 - 24 hrs <br><br><img src="694cabda60c1433129fcbbcec6e65ad8.jpg"><br><span style="font-size: 10pt;"><em>Photo credit: <a href="https://commons.wikimedia.org/wiki/File:MCA_Territory_Infarct.svg">Lucien Monfilsderivative work: Suraj</a>, <a href="https://creativecommons.org/licenses/by-sa/3.0">CC BY-SA 3.0</a>, via Wikimedia Commons</em></span>
Lecture Notes
Empty field
Lecture Notes
Missed Questions
Empty field
Missed Questions
Pathoma
Empty field
Pathoma
Boards and Beyond
Empty field
Boards and Beyond
First Aid
Empty field
First Aid
Sketchy
Empty field
Sketchy
Sketchy 2
Empty field
Sketchy 2
Sketchy Extra
Empty field
Sketchy Extra
Picmonic
Empty field
Picmonic
Pixorize
Empty field
Pixorize
Physeo
Empty field
Physeo
Bootcamp
Empty field
Bootcamp
OME
Empty field
OME
Additional Resources
Empty field
Additional Resources
One by one
Empty field
One by one
Tags
#AK_Step2_v12::!Shelf::IM::no_dupes
#AK_Step2_v12::!Shelf::IM::no_dupes::only_step2
#AK_Step2_v12::!Shelf::Neuro::no_dupes
#AK_Step2_v12::!Shelf::Neuro::no_dupes::only_step2
#AK_Step2_v12::#B&B::10_Neuro::01_Stroke_&_Hemorrhage::01_Stroke_I
#AK_Step2_v12::#OME::02_Neurology::01_Stroke
#AK_Step2_v12::#OME_banner::Clinical::10_Neurology::01_Stroke
#AK_Step2_v12::#Subjects::Neurology::08_Stroke::Ischemic_Stroke
#AK_Step2_v12::#Subjects::Neurology::08_Stroke::Ischemic_Stroke::Pathophysiology